piątek, 6 marca, 2026
Najnowsze:
  • z żałobnej karty
  • Przypadek 356. Szkoły Młodych Patologów.
  • Przypadek 355. Szkoły Młodych Patologów.
  • Akredytacja Jednostek Diagnostyki Patomorfologicznej – to się opłaca!
  • Przypadek 354. Szkoły Młodych Patologów.
Polskie Towarzystwo Patologów

Polskie Towarzystwo Patologów

Polish Society of Pathologists

  • Aktualności
  • O Towarzystwie
    • Zarząd Główny
    • Statut
    • Składka Członkowska
    • Deklaracja Członkowska
    • Licencja PTP
    • Historia PTPat
    • Historia Patomorfologii
    • Członkowie Honorowi
    • Kontakt
  • ZG PTP
  • PJP
  • Konsultant Krajowy
    • Kontakt
    • Informacje
  • Oddziały
    • Białostocki
    • Bydgoski
    • Gdański
    • Krakowski
    • Lubelski
    • Łódzki
    • Olsztyński
    • Poznański
    • Rzeszowski
    • Śląski
    • Szczeciński
    • Warszawski
    • Wrocławski
  • Do użytku
    • Podręcznik wdrożeniowy standardów akredytacyjnych 2022
    • Standardy akredytacyjne w patomorfologii 2021
    • Standardy i wytyczne w patomorfologii 2020
    • Zalecenia do diagnostyki histopatologicznej 2013
    • Rekomendacje dla wdrożenia patologii cyfrowej 2025
  • Konferencje
  • Specjalizacja
    • Program Specjalizacji
    • Lista Zakładów Akredytowanych
  • Akty prawne
  • GRUPY ROBOCZE
    • Sekcja Histotechnologów i Histotechników
      • Wprowadzenie
      • Jak dołączyć do Sekcji?
      • Regulamin Sekcji
      • Wydarzenia
    • Sekcja Cytopatologii
      • Wprowadzenie
      • Jak dołączyć do Sekcji?
      • Regulamin Sekcji
    • Sekcja Patologii Cyfrowej
      • Wprowadzenie
      • Regulamin Sekcji
      • Jak dołączyć do Sekcji?
      • Rekomendacje dla wdrożenia patologii cyfrowej
    • Sekcja Patologii Onkologicznej
      • Wprowadzenie
      • Regulamin Sekcji
      • Jak dołączyć do Sekcji?
  • SORGA-Logowanie

Author: smp

Przypadki Szkoleniowe Szkoła Młodych Patologów 

Przypadek 356. Szkoły Młodych Patologów.

1 marca 20267 lutego 2026 smp 125 Views 0 Comment

Pacjentka 44 letnia przyjęta na Oddział Chirurgii w trybie planowym celem usunięcia wolno powiększającego się, niebolesnego, położonego śródmięśniowo guza uda

Czytaj więcej
Przypadki Szkoleniowe Szkoła Młodych Patologów 

Przypadek 355. Szkoły Młodych Patologów.

22 lutego 20261 marca 2026 smp 206 Views 0 Comment

Pacjent 32 letni po urazie krocza zaobserwował wolno powiększającą się bolesną uciskowo zmianę lewego najądrza. W wykonanym USG stwierdzono torbiel

Czytaj więcej
Przypadki Szkoleniowe Szkoła Młodych Patologów 

Przypadek 354. Szkoły Młodych Patologów.

15 lutego 202622 lutego 2026 smp 214 Views 0 Comment

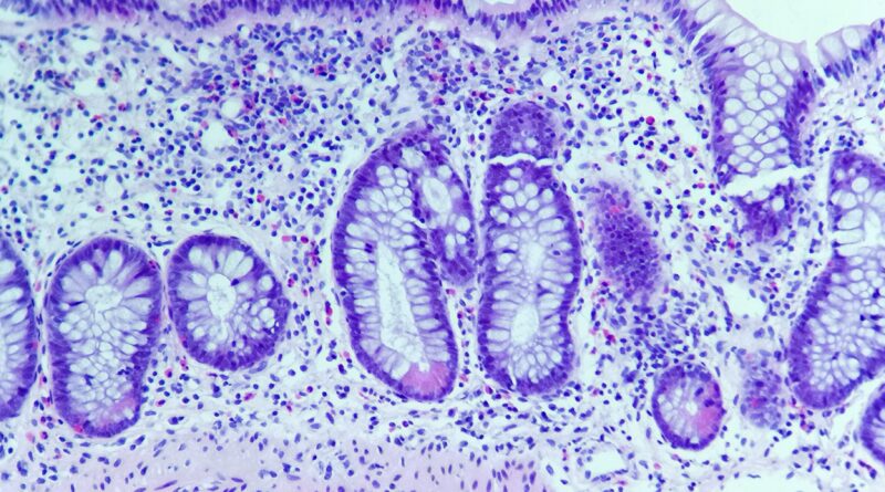
Pacjentka 57 letnia z poprzedniego przypadku, z wieloletnim wywiadem wrzodziejącego zapalenia jelita grubego przyjęta do Poradni Endoskopowej w trakcie wyciszenia

Czytaj więcej
Przypadki Szkoleniowe Szkoła Młodych Patologów 

Przypadek 353. Szkoły Młodych Patologów.

8 lutego 202617 lutego 2026 smp 288 Views 0 Comment

Pacjentka 57 letnia z wieloletnim wywiadem wrzodziejącego zapalenia jelita grubego przyjęta do Poradni Endoskopowej w trakcie klinicznego zaostrzenia objawów. Klinicznie

Czytaj więcej
Przypadki Szkoleniowe Szkoła Młodych Patologów 

Przypadek 352. Szkoły Młodych Patologów.

1 lutego 20268 lutego 2026 smp 307 Views 0 Comment

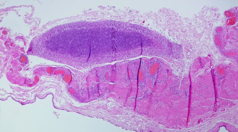
Pacjent 65 letni w trakcie diagnostyki spadku macy ciała wykonano kolonoskopię. W esicy stwierdzono dwa polipy wymiarów do 1 i

Czytaj więcej
Przypadki Szkoleniowe Szkoła Młodych Patologów 

Przypadek 351. Szkoły Młodych Patologów.

25 stycznia 20261 lutego 2026 smp 366 Views 0 Comment

Pacjentka 65 letnia ze stwierdzonym podczas samokontroli guzem piersi lewej. Wykonano biopsję mammotomiczną zmiany. Do badania makroskopowego nadesłano 7 wałeczków

Czytaj więcej
Przypadki Szkoleniowe Szkoła Młodych Patologów 

Przypadek 350. Szkoły Młodych Patologów.

18 stycznia 202625 stycznia 2026 smp 334 Views 0 Comment

Pacjentka 28 letnia, w trakcie diagnostyki występujących naprzemienne zaprać i biegunek wykonano kolonoskopię. W badaniu nie stwierdzono odchyleń od normy.

Czytaj więcej
Przypadki Szkoleniowe Szkoła Młodych Patologów 

Przypadek 349. Szkoły Młodych Patologów.

11 stycznia 202618 stycznia 2026 smp 381 Views 0 Comment

Pacjentka 68 letnia z wieloletnią objawową kamicą pęcherzyka nasiennego. Narząd usunięto w trybie planowym. Do badania makroskopowego nadesłano rozcięty przez

Czytaj więcej
Przypadki Szkoleniowe Szkoła Młodych Patologów 

Przypadek 348. Szkoły Młodych Patologów.

4 stycznia 202611 stycznia 2026 smp 373 Views 0 Comment

Pacjent 68 letni z obserwowanym od kilku miesięcy ostro odgraniczonym, niebolesnym zaczerwieniem na żołędzi prącia, które nie ustąpiło po dotychczasowym

Czytaj więcej
Przypadki Szkoleniowe Szkoła Młodych Patologów 

Przypadek 347. Szkoły Młodych Patologów.

28 grudnia 20254 stycznia 2026 smp 398 Views 0 Comment

Pacjent 72 letni, w trakcie diagnostyki nawracających objawów dyspeptycznych wykonano gastroskopię. Śluzówka całego żołądka zaczerwieniona, ognisko wygładzona ogniskowo brukowana. Test

Czytaj więcej
  • ← Previous

Przypadki Szkoleniowe SMP

Bądź na bieżąco – Newsletter

Loading

O Nas

Pomocne adresy

  • ESP
  • CMKP
  • Administracja pol-pat.pl

Archiwum

  • marzec 2026
  • luty 2026
  • styczeń 2026
  • grudzień 2025
  • listopad 2025
  • październik 2025
  • wrzesień 2025
  • sierpień 2025
  • lipiec 2025
  • czerwiec 2025
  • maj 2025
  • kwiecień 2025
  • marzec 2025
  • luty 2025
  • styczeń 2025
  • grudzień 2024
  • listopad 2024
  • październik 2024
  • wrzesień 2024
  • sierpień 2024
  • lipiec 2024
  • czerwiec 2024
  • maj 2024
  • kwiecień 2024
  • marzec 2024
  • luty 2024
  • styczeń 2024
  • grudzień 2023
  • listopad 2023
  • październik 2023
  • wrzesień 2023
  • sierpień 2023
  • lipiec 2023
  • czerwiec 2023
  • maj 2023
  • kwiecień 2023
  • marzec 2023
  • luty 2023
  • styczeń 2023
  • grudzień 2022
  • listopad 2022
  • październik 2022
  • wrzesień 2022
  • sierpień 2022
  • lipiec 2022
  • czerwiec 2022
  • maj 2022
  • kwiecień 2022
  • marzec 2022
  • luty 2022
  • styczeń 2022
  • grudzień 2021
  • listopad 2021
  • październik 2021
  • wrzesień 2021
  • sierpień 2021
  • lipiec 2021
  • czerwiec 2021
  • maj 2021
  • kwiecień 2021
  • marzec 2021
  • luty 2021
  • styczeń 2021
  • grudzień 2020
  • listopad 2020
  • październik 2020
  • wrzesień 2020
  • sierpień 2020
  • lipiec 2020
  • czerwiec 2020
  • maj 2020
  • kwiecień 2020
  • marzec 2020
  • luty 2020
  • styczeń 2020
  • grudzień 2019
  • listopad 2019
  • październik 2019
  • wrzesień 2019
  • sierpień 2019
  • lipiec 2019
  • czerwiec 2019
  • maj 2019
  • kwiecień 2019
  • marzec 2019
  • luty 2019
  • styczeń 2019
  • grudzień 2018
  • listopad 2018
  • październik 2018
  • wrzesień 2018
  • sierpień 2018
  • lipiec 2018
  • czerwiec 2018
  • maj 2018
  • kwiecień 2018
  • marzec 2018
  • luty 2018
  • styczeń 2018
  • grudzień 2017
  • listopad 2017
  • październik 2017
  • wrzesień 2017
  • sierpień 2017
  • lipiec 2017
  • czerwiec 2017
  • maj 2017
  • kwiecień 2017
  • marzec 2017
  • luty 2017
  • styczeń 2017
  • grudzień 2016
  • listopad 2016
  • październik 2016
  • wrzesień 2016
  • sierpień 2016
Copyright © 2026 Polskie Towarzystwo Patologów. All rights reserved.
Cleantalk Pixel