Aktualności

Zaproszenie na Zaawansowany Kurs Patologii Pediatrycznej i Perinatalnej (IPPA)
W dniach 3–9 października 2026 we Wrocławiu odbędzie się Zaawansowany Kurs Patologii Pediatrycznej i Perinatalnej (IPPA) – międzynarodowe, cykliczne wydarzenie
Szkoła Młodych Patologów

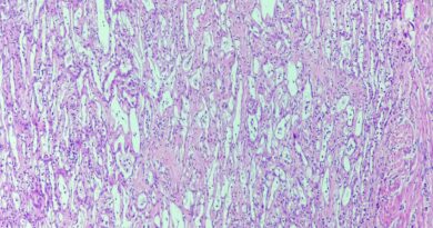
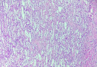
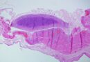
Przypadek 357. Szkoły Młodych Patologów.
Pacjentka 45 letnia z nawracającymi krwawieniami z macicy i rozpoznanymi w USG licznymi guzkami trzonu macicy. W trybie planowym usunięto

















