Przypadek 339. Szkoły Młodych Patologów.
Pacjentka 61 letnia z guzem kątnicy wykrytym w trakcie diagnostyki obecności krwi utajonej w kale. Wykonano prawostronną hemikolektomię.
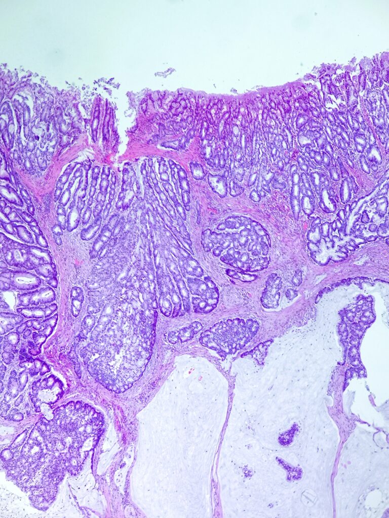
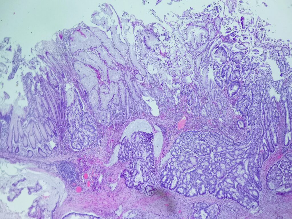
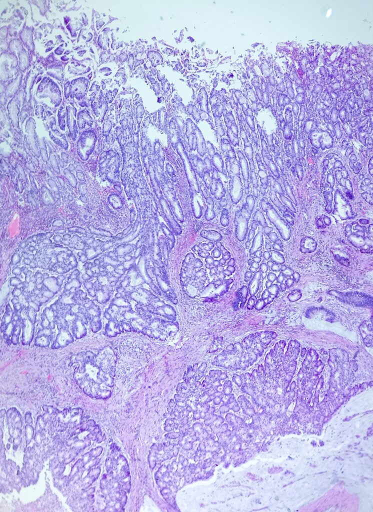
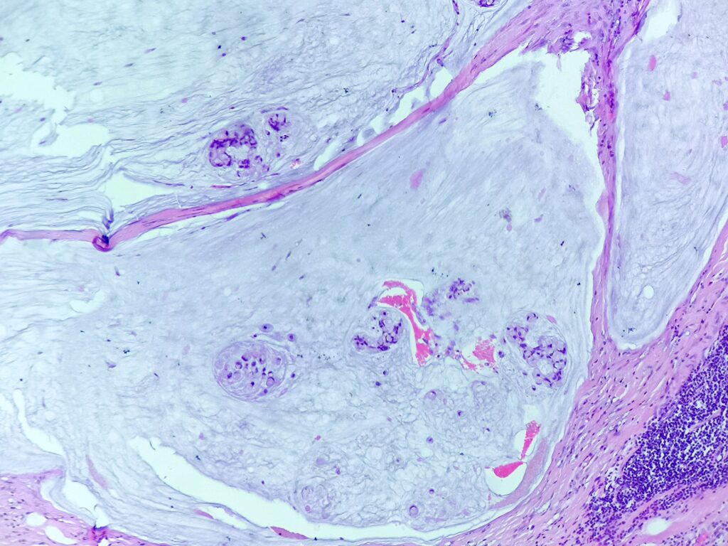
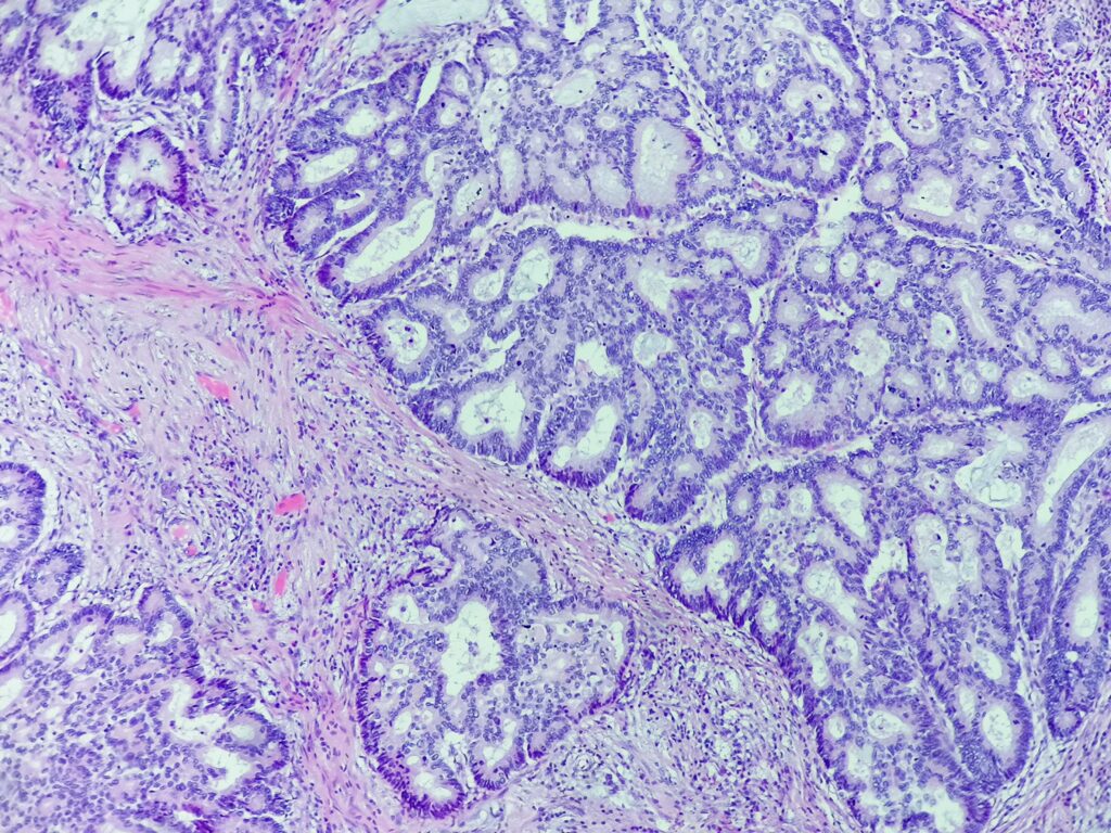
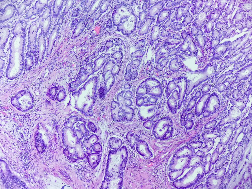
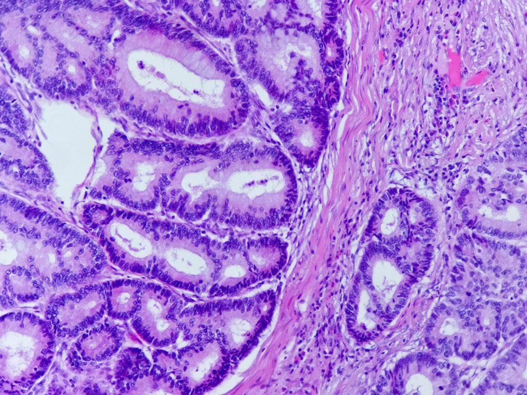
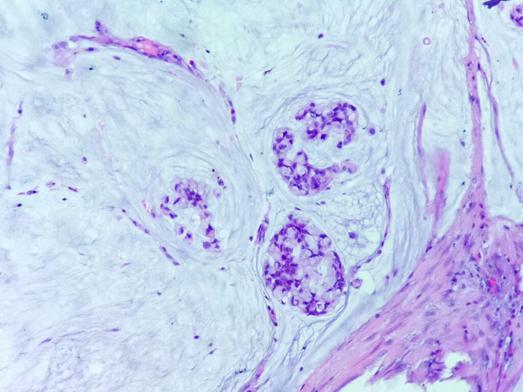
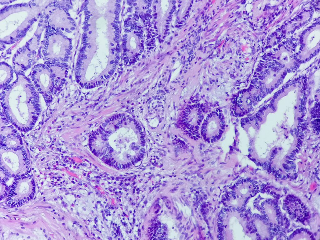
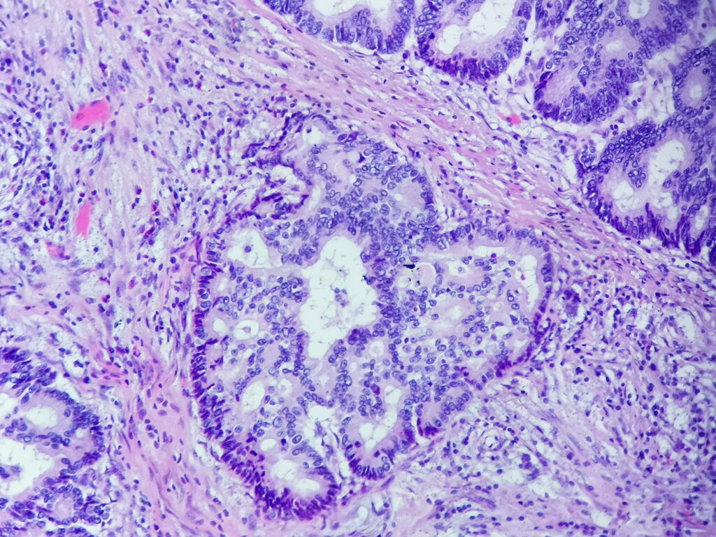
Do badania makroskopowego nadesłano fragment przewodu pokarmowego długości 55cm zawierający dystalny fragment jelita cienkiego długości 5cm oraz kątnicę, wstępnicę i fragment poprzecznicy. Do jelita przylega fragment sieci wymiarów 30x15x0,5cm. Na przekrojach w kątnicy, w odległości 2cm od zastawki krętniczo- kątniczej oraz około 45 od dystalnej linii odcięcia obecny jest płasko- wyniosły guz wymiarów 5×4,5×1,5cm, który w ocenia makroskopowej jest ograniczony do mięśniówki właściwej, nie nacieka przylegającej tkanki tłuszczowej ani surowicówki.
Obrazy mikroskopowe:













Jaką diagnozę proponujesz?
Rozwiązanie przypadku za tydzień w tym miejscu.
