sobota, 17 stycznia, 2026
Najnowsze:
  • Zaproszenie na Konferencję “Advances in Gynecologic Pathology: Harmonizing Morphologic and Molecular Findings”
  • z żałobnej karty
  • Przypadek 349. Szkoły Młodych Patologów.
  • Przypadek 348. Szkoły Młodych Patologów.
  • Przypadek 347. Szkoły Młodych Patologów.
Polskie Towarzystwo Patologów

Polskie Towarzystwo Patologów

Polish Society of Pathologists

  • Aktualności
  • O Towarzystwie
    • Zarząd Główny
    • Statut
    • Składka Członkowska
    • Deklaracja Członkowska
    • Licencja PTP
    • Historia PTPat
    • Historia Patomorfologii
    • Członkowie Honorowi
    • Kontakt
  • ZG PTP
  • PJP
  • Konsultant Krajowy
    • Kontakt
    • Informacje
  • Oddziały
    • Białostocki
    • Bydgoski
    • Gdański
    • Krakowski
    • Lubelski
    • Łódzki
    • Olsztyński
    • Poznański
    • Rzeszowski
    • Śląski
    • Szczeciński
    • Warszawski
    • Wrocławski
  • Do użytku
    • Podręcznik wdrożeniowy standardów akredytacyjnych 2022
    • Standardy akredytacyjne w patomorfologii 2021
    • Standardy i wytyczne w patomorfologii 2020
    • Zalecenia do diagnostyki histopatologicznej 2013
    • Rekomendacje dla wdrożenia patologii cyfrowej 2025
  • Konferencje
  • Specjalizacja
    • Program Specjalizacji
    • Lista Zakładów Akredytowanych
  • Akty prawne
  • GRUPY ROBOCZE
    • Sekcja Histotechnologów i Histotechników
      • Wprowadzenie
      • Jak dołączyć do Sekcji?
      • Regulamin Sekcji
      • Wydarzenia
    • Sekcja Cytopatologii
      • Wprowadzenie
      • Jak dołączyć do Sekcji?
      • Regulamin Sekcji
    • Sekcja Patologii Cyfrowej
      • Wprowadzenie
      • Regulamin Sekcji
      • Jak dołączyć do Sekcji?
      • Rekomendacje dla wdrożenia patologii cyfrowej
    • Sekcja Patologii Onkologicznej
      • Wprowadzenie
      • Regulamin Sekcji
      • Jak dołączyć do Sekcji?
  • SORGA-Logowanie

Month: wrzesień 2025

Aktualności 

Zaproszenie na XIX Konferencję PGRP

29 września 202529 września 2025 P.Wisniewski 715 Views 0 Comment

Szanowni Państwo, Serdecznie zapraszam na coroczną, już XIX Konferencję Polskiej Grupy Raka Płuca, która odbędzie się w Warszawie w dniach

Czytaj więcej
Przypadki Szkoleniowe Szkoła Młodych Patologów 

Przypadek 335. Szkoły Młodych Patologów.

28 września 20255 października 2025 smp 472 Views 0 Comment

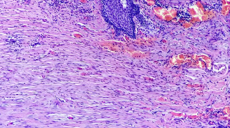
Pacjentka 68 letnia, przyjęta do Poradni Chirurgicznej celem poszerzenia marginesu operacyjnego po usunięciu raka podstawnokomórkowego skóry skroni prawej, które miało

Czytaj więcej
Aktualności Informacje Konsultant Krajowy 

o jakości i standardach w patomorfologii

24 września 202524 września 2025 Konsultant Krajowy 841 Views 0 Comment

Poniżej przekazuję link do sprawozdania z debaty Pulsu Medycyny oraz link do nagrania. W trakcie debaty bardzo mocno wszyscy uczestnicy,

Czytaj więcej
Przypadki Szkoleniowe Szkoła Młodych Patologów 

Przypadek 334. Szkoły Młodych Patologów.

21 września 202528 września 2025 smp 531 Views 0 Comment

Pacjent 64 letni, po pozaszpitalnym zatrzymaniu krążenia, do tej pory nieleczący się przewlekle, zmarł po 10 godzinach od przyjęcia na

Czytaj więcej
Aktualności 

Zaproszenie na Wrocławskie Dni Cytologiczne

18 września 202518 września 2025 P.Wisniewski 1172 Views 0 Comment

W imieniu Komitetu Organizacyjnego Wrocławskich Dni Cytologicznych serdecznie zapraszamy do Wrocławia w dniach 23-25 października. Jak w poprzednich latach w

Czytaj więcej
Aktualności Informacje Konsultant Krajowy 

w drodze do ogłoszenia standardów akredytacyjnych dla patomorfologii

17 września 202517 września 2025 Konsultant Krajowy 1284 Views 1 Comment

Po zakończeniu przeglądów akredytacyjnych w ramach projekt PO WER, dzięki staraniom konsultanta krajowego w dziedzinie patomorfologii, wiosną br. rozpoczęły się

Czytaj więcej
Przypadki Szkoleniowe Szkoła Młodych Patologów 

Przypadek 333. Szkoły Młodych Patologów.

14 września 202521 września 2025 smp 543 Views 0 Comment

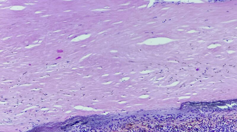
Pacjentka 29 letnia, przed założeniem wkładki wewnątrzmacicznej wykonano zabieg wyłyżeczkowania kanału i jamy macicy. Do badania makroskopowego nadesłano skąpe, brunatne

Czytaj więcej
Do użytku Informacje Konsultant Krajowy 

prawie 60 mln na wparcie patomorfologii!

14 września 202514 września 2025 Konsultant Krajowy 667 Views 0 Comment

Dzięki kilkuletnim staraniom konsultanta krajowego udało się przekonać decydentów do wsparcia jednostek diagnostyki patomorfologicznej. W obecnym konkursie wsparcie uzyskało ponad

Czytaj więcej
Do użytku Informacje Konsultant Krajowy 

o JGPato na Komisji Zdrowia Sejmu RP

12 września 202512 września 2025 Konsultant Krajowy 804 Views 0 Comment

W dniu dzisiejszym (12 września 2025r.) odbyło się w Sejmie posiedzenie Komisji Zdrowia, Podkomisji stałej do spraw onkologii. Celem spotkania

Czytaj więcej
Przypadki Szkoleniowe Szkoła Młodych Patologów 

Przypadek 332. Szkoły Młodych Patologów.

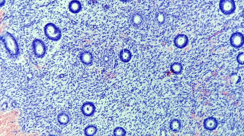
7 września 202514 września 2025 smp 584 Views 0 Comment

Pacjent 43 letni przyjęty w trybie planowym na Oddział Ortopedii z powodu wielomiesięcznego narastającego bólu, tkliwości, obrzęku i zmniejszenia ruchomości

Czytaj więcej

Przypadki Szkoleniowe SMP

Bądź na bieżąco – Newsletter

Loading

O Nas

Pomocne adresy

  • ESP
  • CMKP
  • Administracja pol-pat.pl

Archiwum

  • styczeń 2026
  • grudzień 2025
  • listopad 2025
  • październik 2025
  • wrzesień 2025
  • sierpień 2025
  • lipiec 2025
  • czerwiec 2025
  • maj 2025
  • kwiecień 2025
  • marzec 2025
  • luty 2025
  • styczeń 2025
  • grudzień 2024
  • listopad 2024
  • październik 2024
  • wrzesień 2024
  • sierpień 2024
  • lipiec 2024
  • czerwiec 2024
  • maj 2024
  • kwiecień 2024
  • marzec 2024
  • luty 2024
  • styczeń 2024
  • grudzień 2023
  • listopad 2023
  • październik 2023
  • wrzesień 2023
  • sierpień 2023
  • lipiec 2023
  • czerwiec 2023
  • maj 2023
  • kwiecień 2023
  • marzec 2023
  • luty 2023
  • styczeń 2023
  • grudzień 2022
  • listopad 2022
  • październik 2022
  • wrzesień 2022
  • sierpień 2022
  • lipiec 2022
  • czerwiec 2022
  • maj 2022
  • kwiecień 2022
  • marzec 2022
  • luty 2022
  • styczeń 2022
  • grudzień 2021
  • listopad 2021
  • październik 2021
  • wrzesień 2021
  • sierpień 2021
  • lipiec 2021
  • czerwiec 2021
  • maj 2021
  • kwiecień 2021
  • marzec 2021
  • luty 2021
  • styczeń 2021
  • grudzień 2020
  • listopad 2020
  • październik 2020
  • wrzesień 2020
  • sierpień 2020
  • lipiec 2020
  • czerwiec 2020
  • maj 2020
  • kwiecień 2020
  • marzec 2020
  • luty 2020
  • styczeń 2020
  • grudzień 2019
  • listopad 2019
  • październik 2019
  • wrzesień 2019
  • sierpień 2019
  • lipiec 2019
  • czerwiec 2019
  • maj 2019
  • kwiecień 2019
  • marzec 2019
  • luty 2019
  • styczeń 2019
  • grudzień 2018
  • listopad 2018
  • październik 2018
  • wrzesień 2018
  • sierpień 2018
  • lipiec 2018
  • czerwiec 2018
  • maj 2018
  • kwiecień 2018
  • marzec 2018
  • luty 2018
  • styczeń 2018
  • grudzień 2017
  • listopad 2017
  • październik 2017
  • wrzesień 2017
  • sierpień 2017
  • lipiec 2017
  • czerwiec 2017
  • maj 2017
  • kwiecień 2017
  • marzec 2017
  • luty 2017
  • styczeń 2017
  • grudzień 2016
  • listopad 2016
  • październik 2016
  • wrzesień 2016
  • sierpień 2016
Copyright © 2026 Polskie Towarzystwo Patologów. All rights reserved.
Cleantalk Pixel