Przypadek 339. Szkoły Młodych Patologów.
Pacjentka 61 letnia z guzem kątnicy wykrytym w trakcie diagnostyki obecności krwi utajonej w kale. Wykonano prawostronną hemikolektomię.
Do badania makroskopowego nadesłano fragment przewodu pokarmowego długości 55cm zawierający dystalny fragment jelita cienkiego długości 5cm oraz kątnicę, wstępnicę i fragment poprzecznicy. Do jelita przylega fragment sieci wymiarów 30x15x0,5cm. Na przekrojach w kątnicy, w odległości 2cm od zastawki krętniczo- kątniczej oraz około 45 od dystalnej linii odcięcia obecny jest płasko- wyniosły guz wymiarów 5×4,5×1,5cm, który w ocenia makroskopowej jest ograniczony do mięśniówki właściwej, nie nacieka przylegającej tkanki tłuszczowej ani surowicówki.
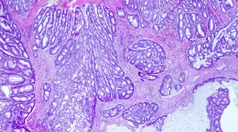
Obrazy mikroskopowe:













Cechy charakterystyczne:
- przekraczający mięśniówkę śluzówki naciek składający się z komórek wykazujących cechy atypii dużego stopnia (powiększone, pęcherzykowe, ciemne jądra komórkowe, zaznaczone jąderka, liczne figury podziału) tworzących układy sitowate (krzyżyk) i cewkowe
- ponadto w obrębie guza obecne są pola śluzu (gwiazdka) z zatopionymi w nich grupami, zespołami i pasmami atypowych komórek walcowatych (czerwona strzałka) oraz z komórkami sygnetowatymi – jądra komórkowe ciemne, zepchnięte na obwód przez położoną centralnie jasną wodniczkę (niebieska strzałka)
- pola śluzowe z komórkami walcowatymi lub sygnetowatymi stanowią mniej niż 50% objętości guza, komórki sygnetowate są zanurzone w polach śluzu, brak cech innych podtypów raka jelita grubego
- w wykonanych badaniach dodatkowych zachowane MSH2, MSH6, PMS2 i MLH1
- porównaj także przypadki 62. SMP i 289. SMP





Rozpoznanie:
Rak gruczołowy jelita grubego z komponentą śluzotwórczą (Adenocarcinoma of the colon with mucinous component).
Dodatkowe zdjęcia i informacje:
