Przypadek 356. Szkoły Młodych Patologów.
Pacjentka 44 letnia przyjęta na Oddział Chirurgii w trybie planowym celem usunięcia wolno powiększającego się, niebolesnego, położonego śródmięśniowo guza uda lewego.
Do badania makroskopowego nadesłano cztery biało- żółtawe, galaretowate fragmenty tkankowe wymiarów od 1,5 do 6cm.
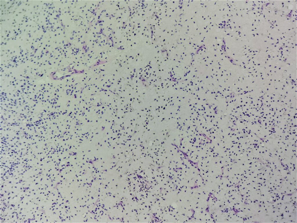
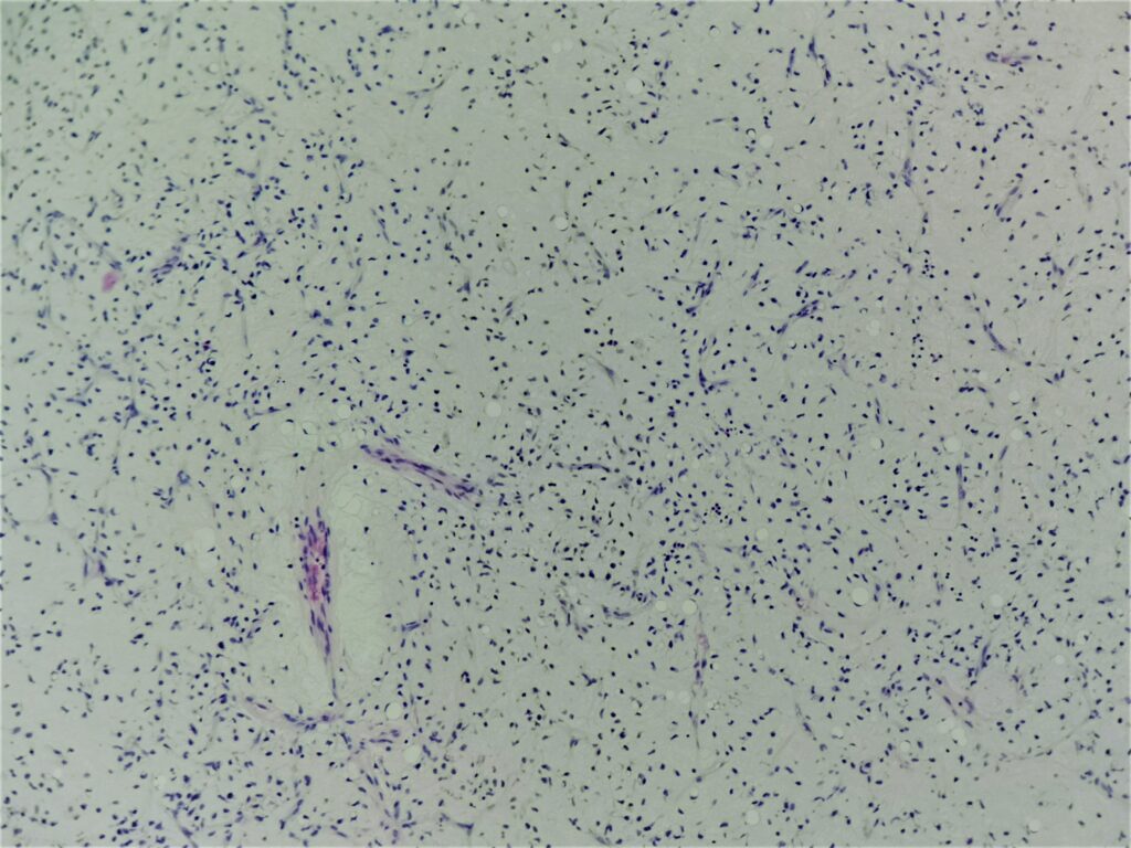
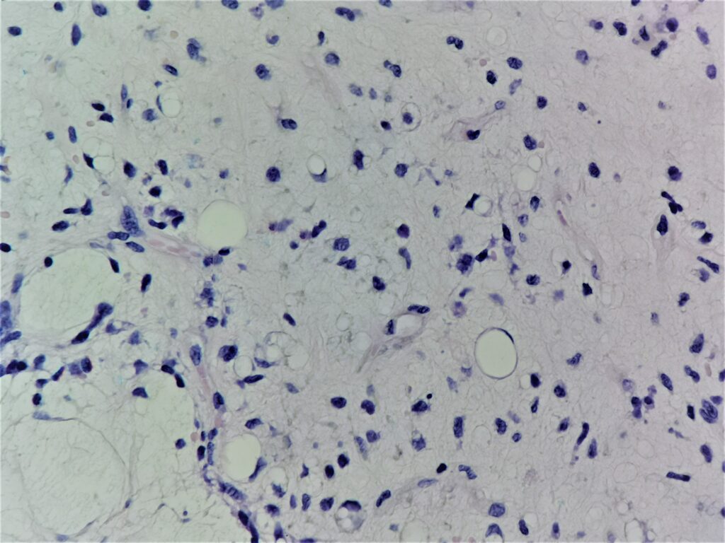
Obrazy mikroskopowe:










Cechy charakterystyczne:
- nieotorebkowana ubogokomórkowa zmiana, w skład której wchodzą: * śluzowate (myxoidne) podścielisko (blade, „rozcieńczone”) /krzyżyk/ * sieć rozgałęziających się, drobnych naczyń krwionośnych o cienkich ścianach, w części łukowatym przebiegu (tzw chicken wire fence – siatka ogrodzeniowa) /czerwona strzałka/ * lipoblasty – komórki mniejsze od dojrzałych adipocytów, sygnetowate – w centrum duża, jasna wakuola, na obwodzie ciemne jądro komórkowe półksiężycowate, okrągłe lub muszelkowate /niebieska strzałka/ * podobne do siebie komórki o wrzecionowatym, gwiazdkowatym lub owalnym kształcie, o ciemnym jądrze komórkowym i stosunkowo skąpej cytoplazmie /żółta strzałka/
- brak komórek pleomorficznych, brak nisko zróżnicowanych okrągłych komórek o bardzo skąpej cytoplazmie, brak zagęszczenia komórkowego
- w wykonanych badaniach genetycznych potwierdzono obecność rearanżacji FUS–DDIT3

Rozpoznanie:
Tłuszczakomięsak śluzowaty (Myxoid liposacoma low grade).
Dodatkowe zdjęcia i informacje:
