sobota, 14 marca, 2026
Najnowsze:
  • Komunikat dotyczący użytkowników poczty @pol-pat.pl
  • Przypadek 357. Szkoły Młodych Patologów.
  • Zaproszenie na Zaawansowany Kurs Patologii Pediatrycznej i Perinatalnej (IPPA)
  • z żałobnej karty
  • Przypadek 356. Szkoły Młodych Patologów.
Polskie Towarzystwo Patologów

Polskie Towarzystwo Patologów

Polish Society of Pathologists

  • Aktualności
  • O Towarzystwie
    • Zarząd Główny
    • Statut
    • Składka Członkowska
    • Deklaracja Członkowska
    • Licencja PTP
    • Historia PTPat
    • Historia Patomorfologii
    • Członkowie Honorowi
    • Kontakt
  • ZG PTP
  • PJP
  • Konsultant Krajowy
    • Kontakt
    • Informacje
  • Oddziały
    • Białostocki
    • Bydgoski
    • Gdański
    • Krakowski
    • Lubelski
    • Łódzki
    • Olsztyński
    • Poznański
    • Rzeszowski
    • Śląski
    • Szczeciński
    • Warszawski
    • Wrocławski
  • Do użytku
    • Podręcznik wdrożeniowy standardów akredytacyjnych 2022
    • Standardy akredytacyjne w patomorfologii 2021
    • Standardy i wytyczne w patomorfologii 2020
    • Zalecenia do diagnostyki histopatologicznej 2013
    • Rekomendacje dla wdrożenia patologii cyfrowej 2025
  • Konferencje
  • Specjalizacja
    • Program Specjalizacji
    • Lista Zakładów Akredytowanych
  • Akty prawne
  • GRUPY ROBOCZE
    • Sekcja Histotechnologów i Histotechników
      • Wprowadzenie
      • Jak dołączyć do Sekcji?
      • Regulamin Sekcji
      • Wydarzenia
    • Sekcja Cytopatologii
      • Wprowadzenie
      • Jak dołączyć do Sekcji?
      • Regulamin Sekcji
    • Sekcja Patologii Cyfrowej
      • Wprowadzenie
      • Regulamin Sekcji
      • Jak dołączyć do Sekcji?
      • Rekomendacje dla wdrożenia patologii cyfrowej
    • Sekcja Patologii Onkologicznej
      • Wprowadzenie
      • Regulamin Sekcji
      • Jak dołączyć do Sekcji?
  • SORGA-Logowanie

Month: marzec 2026

Bez kategorii 

Komunikat dotyczący użytkowników poczty @pol-pat.pl

13 marca 202613 marca 2026 P.Wisniewski 50 Views 0 Comment

W związku z uchwałą nr 146/2025 Zarządu Głównego Polskiego Towarzystwa Patologów dotyczącą nowej strony internetowej PTPat (www.pol-pat.pl)  i podpisaniu umowy

Czytaj więcej
Przypadki Szkoleniowe Szkoła Młodych Patologów 

Przypadek 357. Szkoły Młodych Patologów.

8 marca 202628 lutego 2026 smp 133 Views 0 Comment

Pacjentka 45 letnia z nawracającymi krwawieniami z macicy i rozpoznanymi w USG licznymi guzkami trzonu macicy. W trybie planowym usunięto

Czytaj więcej
Aktualności 

Zaproszenie na Zaawansowany Kurs Patologii Pediatrycznej i Perinatalnej (IPPA)

8 marca 20268 marca 2026 P.Wisniewski 239 Views 0 Comment

W dniach 3–9 października 2026 we Wrocławiu odbędzie się Zaawansowany Kurs Patologii Pediatrycznej i Perinatalnej (IPPA) – międzynarodowe, cykliczne wydarzenie

Czytaj więcej
Aktualności 

z żałobnej karty

5 marca 20265 marca 2026 Konsultant Krajowy 278 Views 0 Comment

przekazuję otrzymaną wiadomość: Zmarła nasza Koleżanka Dr Maria Pyda-Karwicka specjalista w dziedzinie patomorfologii ze specjalnym zainteresowaniem w uropatologii i cytologii

Czytaj więcej
Przypadki Szkoleniowe Szkoła Młodych Patologów 

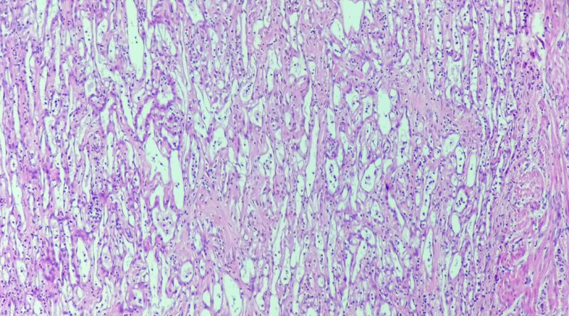
Przypadek 356. Szkoły Młodych Patologów.

1 marca 20268 marca 2026 smp 213 Views 0 Comment

Pacjentka 44 letnia przyjęta na Oddział Chirurgii w trybie planowym celem usunięcia wolno powiększającego się, niebolesnego, położonego śródmięśniowo guza uda

Czytaj więcej

Przypadki Szkoleniowe SMP

Bądź na bieżąco – Newsletter

Loading

O Nas

Pomocne adresy

  • ESP
  • CMKP
  • Administracja pol-pat.pl

Archiwum

  • marzec 2026
  • luty 2026
  • styczeń 2026
  • grudzień 2025
  • listopad 2025
  • październik 2025
  • wrzesień 2025
  • sierpień 2025
  • lipiec 2025
  • czerwiec 2025
  • maj 2025
  • kwiecień 2025
  • marzec 2025
  • luty 2025
  • styczeń 2025
  • grudzień 2024
  • listopad 2024
  • październik 2024
  • wrzesień 2024
  • sierpień 2024
  • lipiec 2024
  • czerwiec 2024
  • maj 2024
  • kwiecień 2024
  • marzec 2024
  • luty 2024
  • styczeń 2024
  • grudzień 2023
  • listopad 2023
  • październik 2023
  • wrzesień 2023
  • sierpień 2023
  • lipiec 2023
  • czerwiec 2023
  • maj 2023
  • kwiecień 2023
  • marzec 2023
  • luty 2023
  • styczeń 2023
  • grudzień 2022
  • listopad 2022
  • październik 2022
  • wrzesień 2022
  • sierpień 2022
  • lipiec 2022
  • czerwiec 2022
  • maj 2022
  • kwiecień 2022
  • marzec 2022
  • luty 2022
  • styczeń 2022
  • grudzień 2021
  • listopad 2021
  • październik 2021
  • wrzesień 2021
  • sierpień 2021
  • lipiec 2021
  • czerwiec 2021
  • maj 2021
  • kwiecień 2021
  • marzec 2021
  • luty 2021
  • styczeń 2021
  • grudzień 2020
  • listopad 2020
  • październik 2020
  • wrzesień 2020
  • sierpień 2020
  • lipiec 2020
  • czerwiec 2020
  • maj 2020
  • kwiecień 2020
  • marzec 2020
  • luty 2020
  • styczeń 2020
  • grudzień 2019
  • listopad 2019
  • październik 2019
  • wrzesień 2019
  • sierpień 2019
  • lipiec 2019
  • czerwiec 2019
  • maj 2019
  • kwiecień 2019
  • marzec 2019
  • luty 2019
  • styczeń 2019
  • grudzień 2018
  • listopad 2018
  • październik 2018
  • wrzesień 2018
  • sierpień 2018
  • lipiec 2018
  • czerwiec 2018
  • maj 2018
  • kwiecień 2018
  • marzec 2018
  • luty 2018
  • styczeń 2018
  • grudzień 2017
  • listopad 2017
  • październik 2017
  • wrzesień 2017
  • sierpień 2017
  • lipiec 2017
  • czerwiec 2017
  • maj 2017
  • kwiecień 2017
  • marzec 2017
  • luty 2017
  • styczeń 2017
  • grudzień 2016
  • listopad 2016
  • październik 2016
  • wrzesień 2016
  • sierpień 2016
Copyright © 2026 Polskie Towarzystwo Patologów. All rights reserved.
Cleantalk Pixel