Przypadek 355. Szkoły Młodych Patologów.
Pacjent 32 letni po urazie krocza zaobserwował wolno powiększającą się bolesną uciskowo zmianę lewego najądrza. W wykonanym USG stwierdzono torbiel bez przepływów wewnętrznych. Zmianę usunięto.
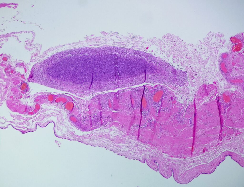
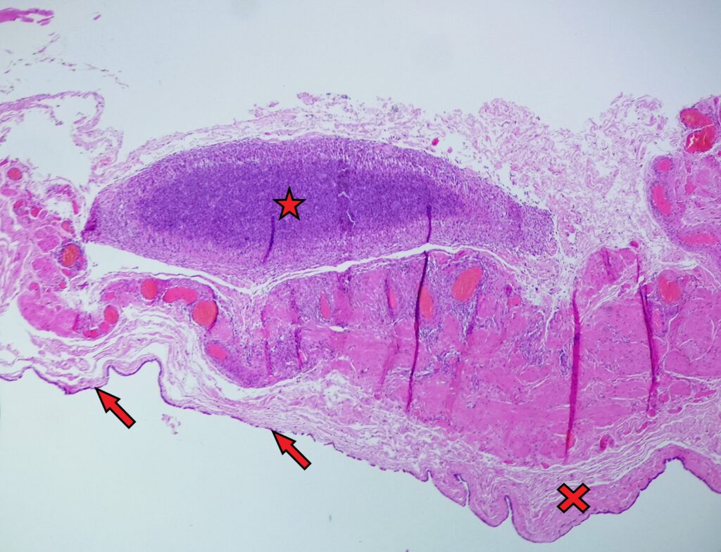
Do badania makroskopowego nadesłano dwa szarawe błoniaste fragmenty tkankowe wym. do 2 i 4cm.
Obrazy mikroskopowe:









Cechy charakterystyczne:
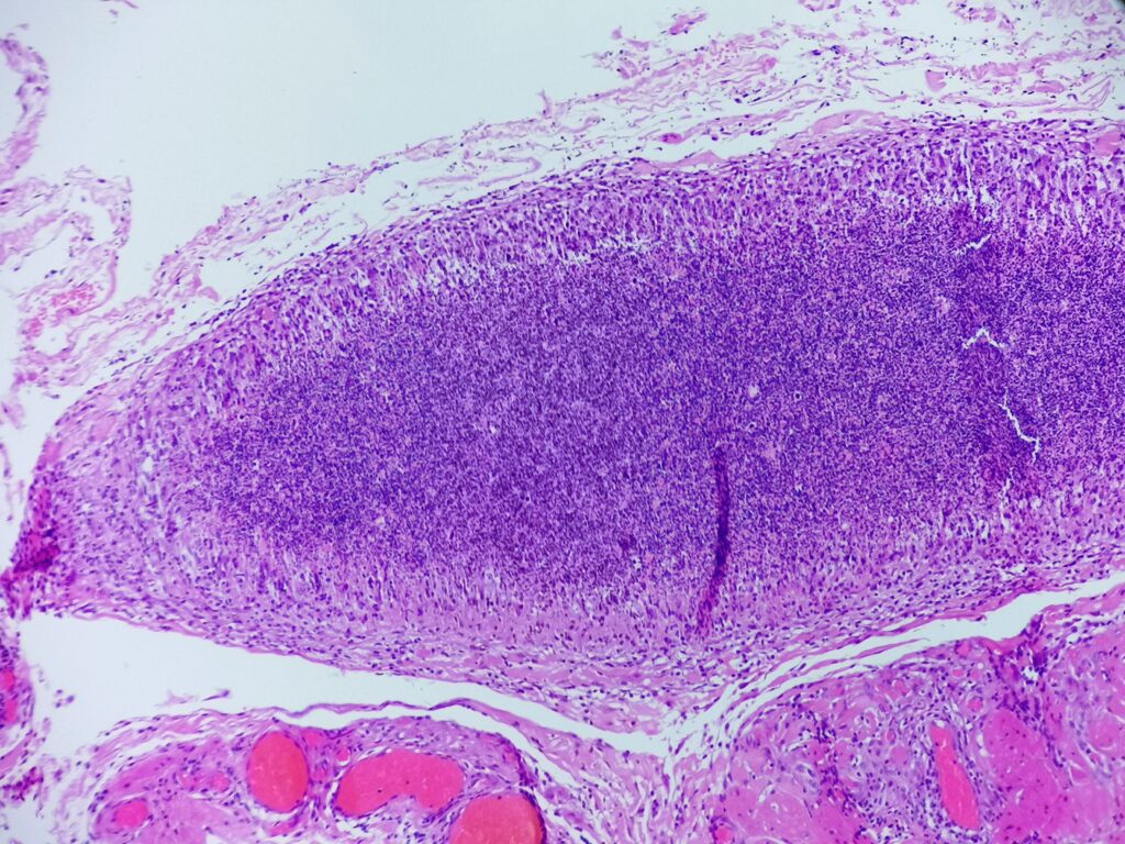
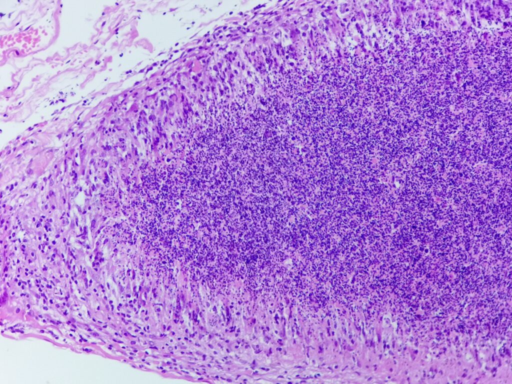
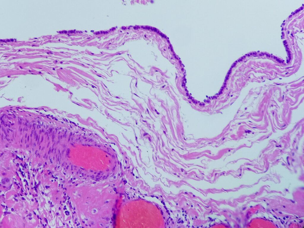
- cienkościenna torbielowata struktura składająca się z tkanki łącznej (krzyżyk) wysłana jednowarstwowym nabłonkiem (czerwona strzałka) od kostkowego po walcowaty, z pojedynczymi komórkami rzęskowymi – torbiel nasienna patrz przypadek nr 105. SMP
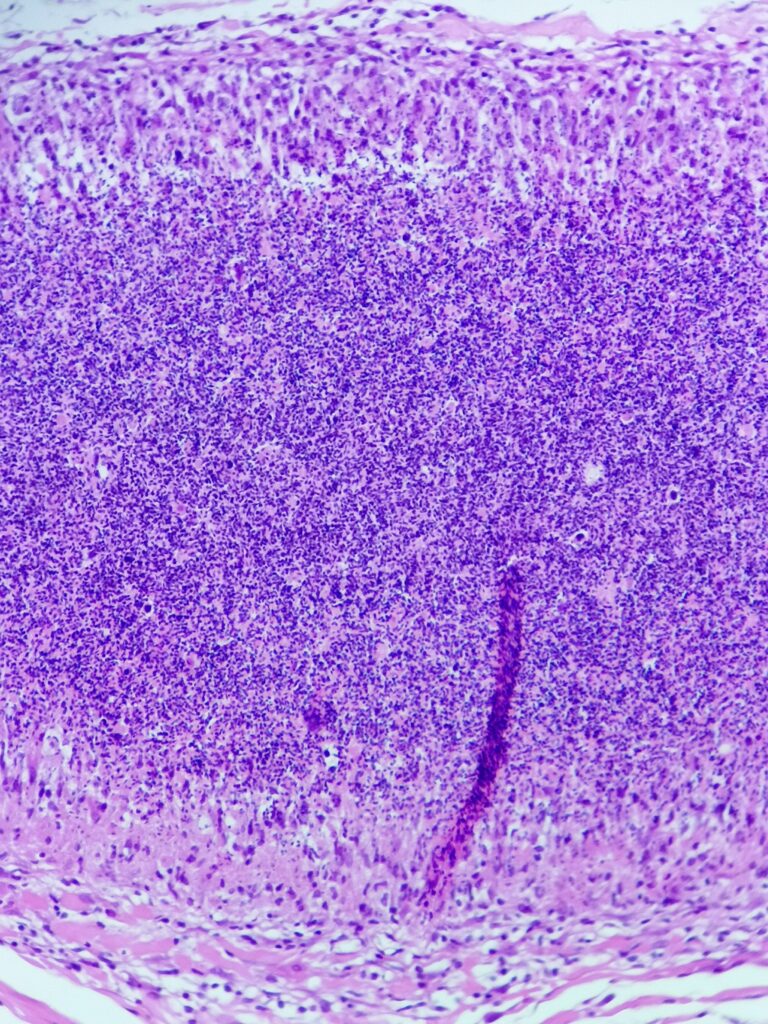
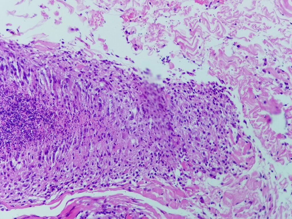
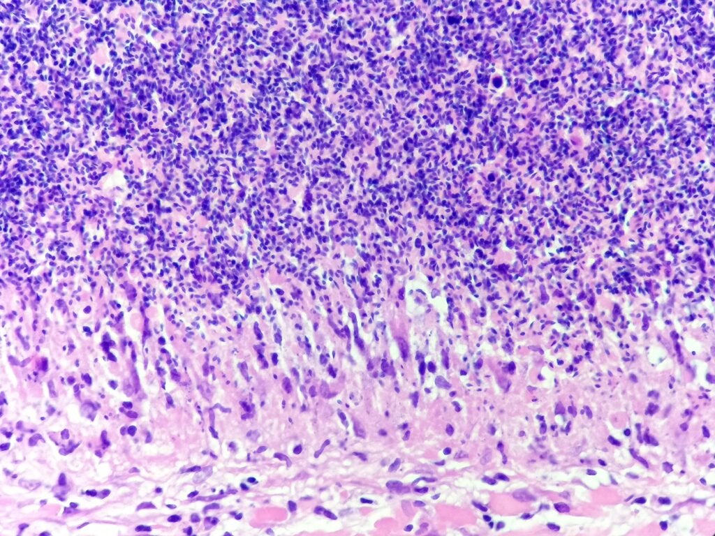
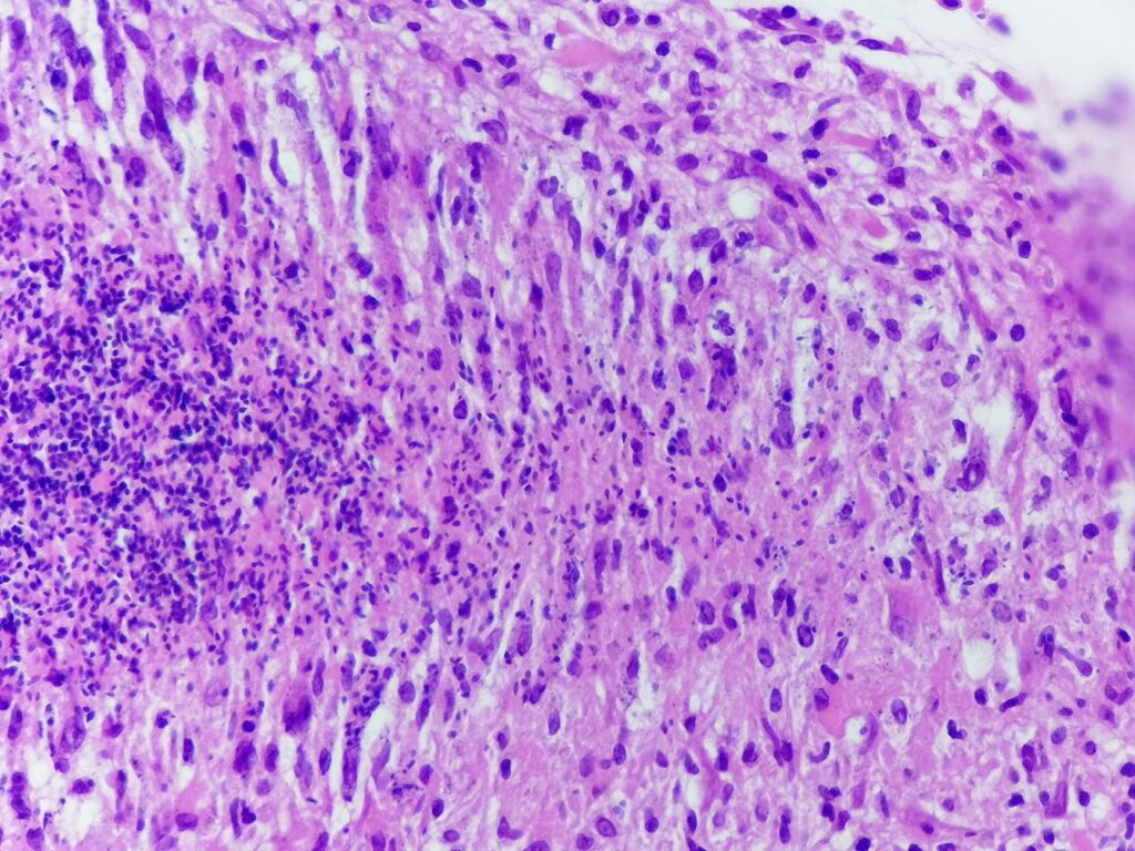
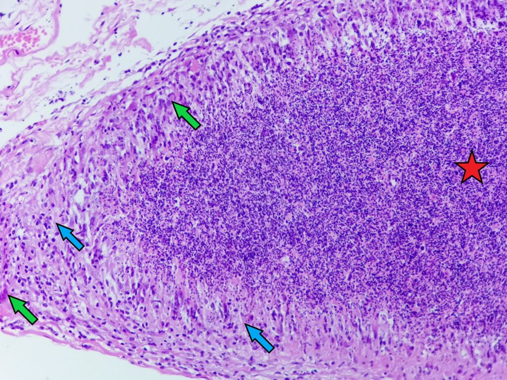
- poza światłem zmiany obecne są plemniki (gwiazdka) z otaczającym odczynem z histiocytów (komórki o owalnym lub okrągłym jądrem komórkowym stosunkowo obfitej lekko kwasochłonnej cytoplazmie, niebieska strzałka), nieliczne limfocyty i komórki wielojądrowe (zielona strzałka) – ziarniniak
- brak komórek atypowych, martwicy centralnej, grzybów bądź innych mikroorganizmów


Rozpoznanie:
Ziarniniak nasienny (sperm granuloma)
Dodatkowe zdjęcia i informacje:
