Przypadek 354. Szkoły Młodych Patologów.
Pacjentka 57 letnia z poprzedniego przypadku, z wieloletnim wywiadem wrzodziejącego zapalenia jelita grubego przyjęta do Poradni Endoskopowej w trakcie wyciszenia objawów. W kolonoskopii lewa połowa jelita grubego o nieco brukowana, nierówna, z nielicznymi polipami rzekomymi, jednak bez przekrwienia, bez krwawienia kontaktowego, bez nadżerek. Pobrano wycinki z lewej połowy jelita grubego.
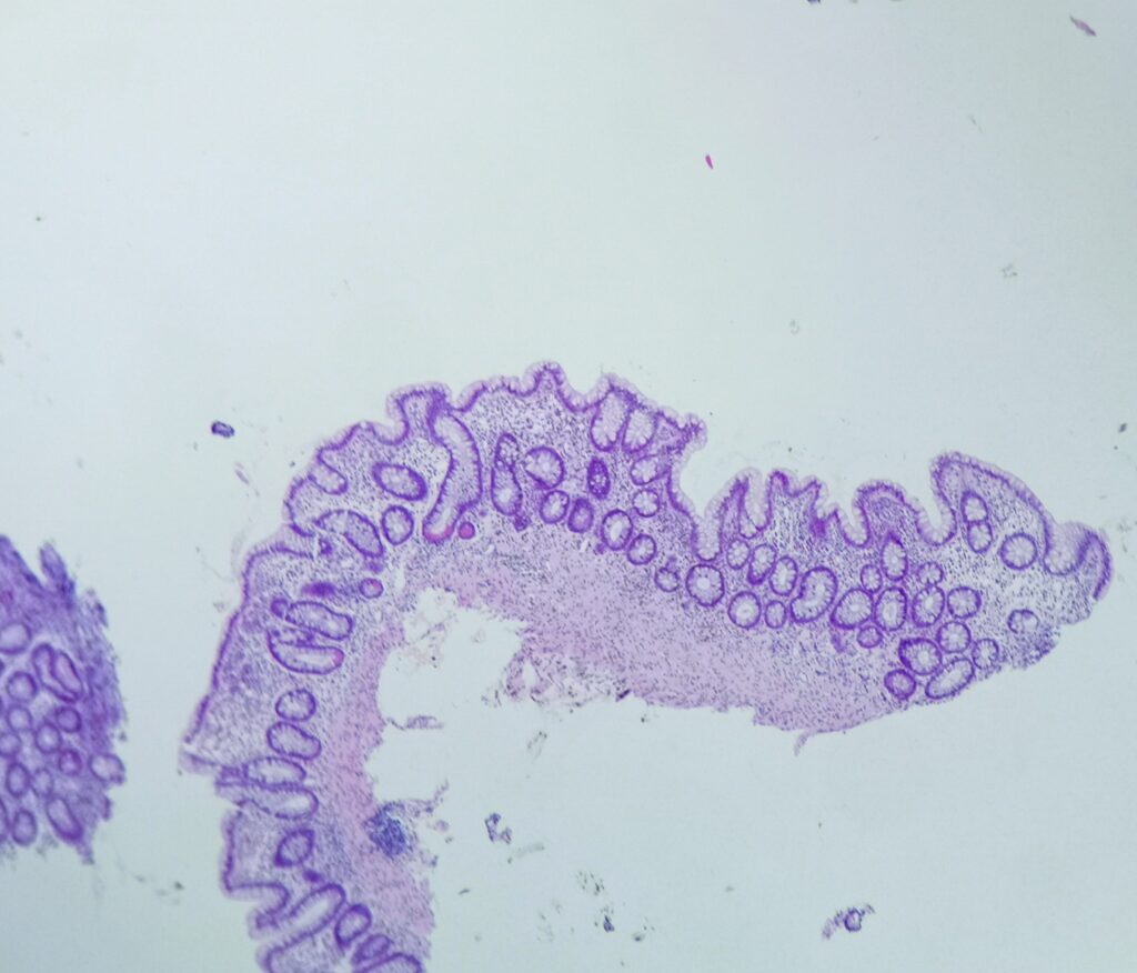
Do badania makroskopowego nadesłano 4 beżowe fragmenty tkankowe wym. od 0,2 do 0,5cm.
Obrazy mikroskopowe:











Cechy charakterystyczne:
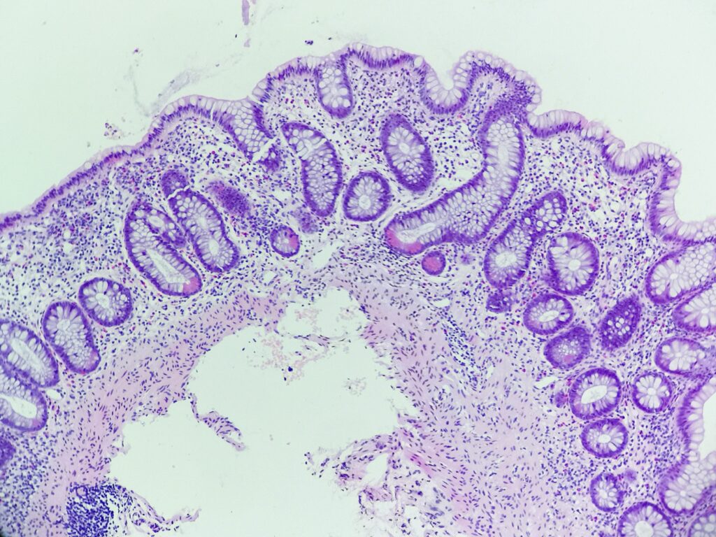
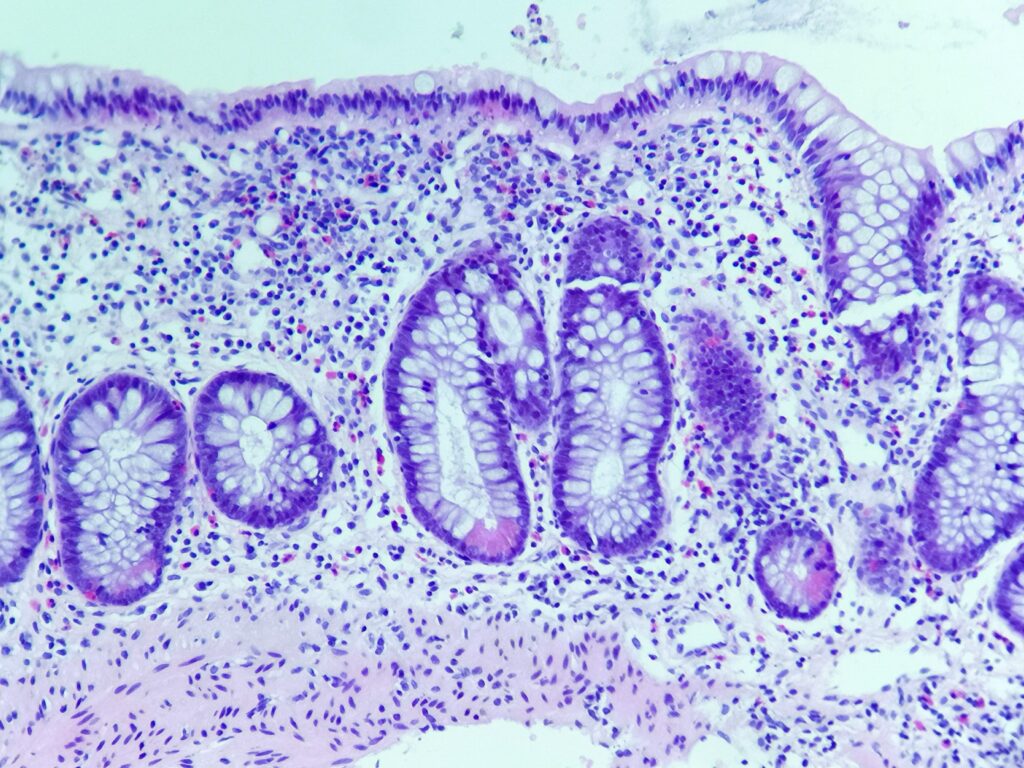
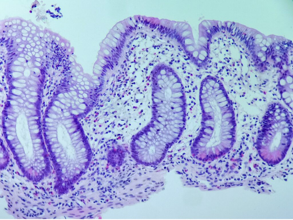
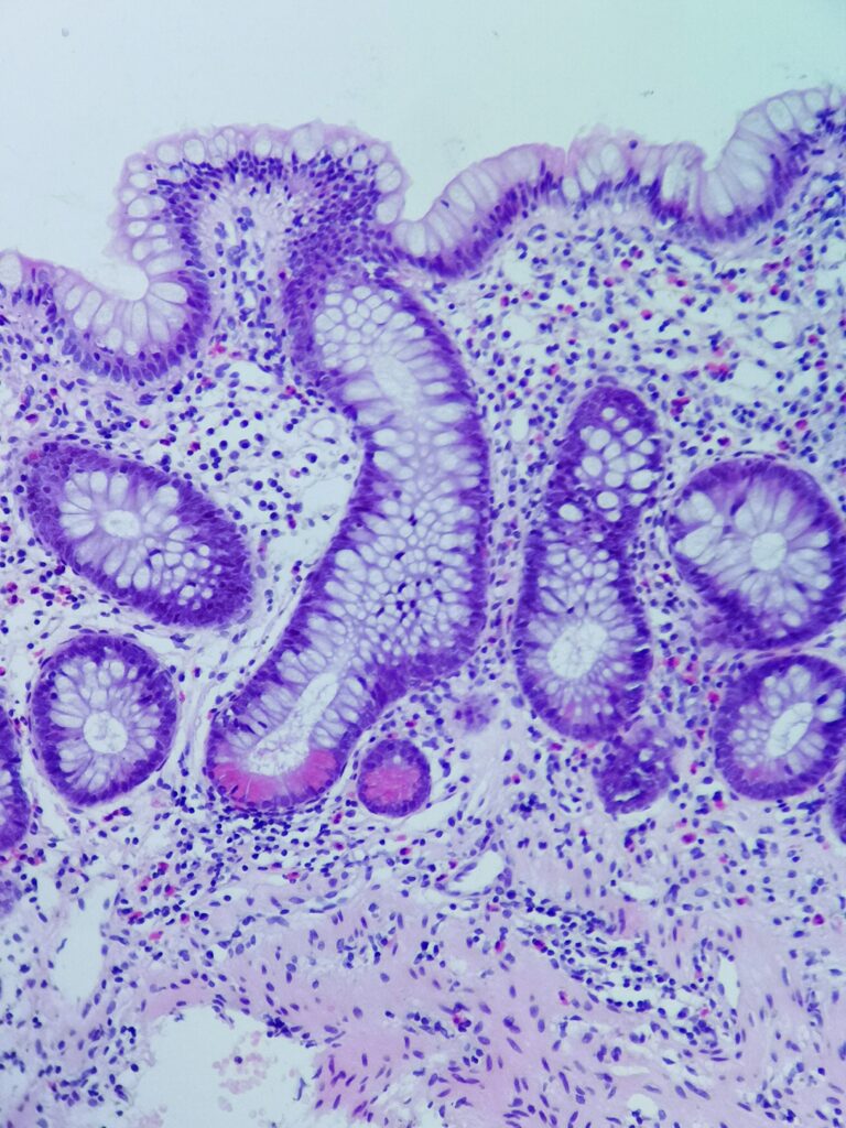
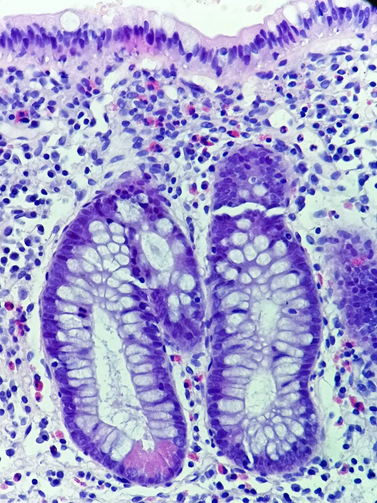
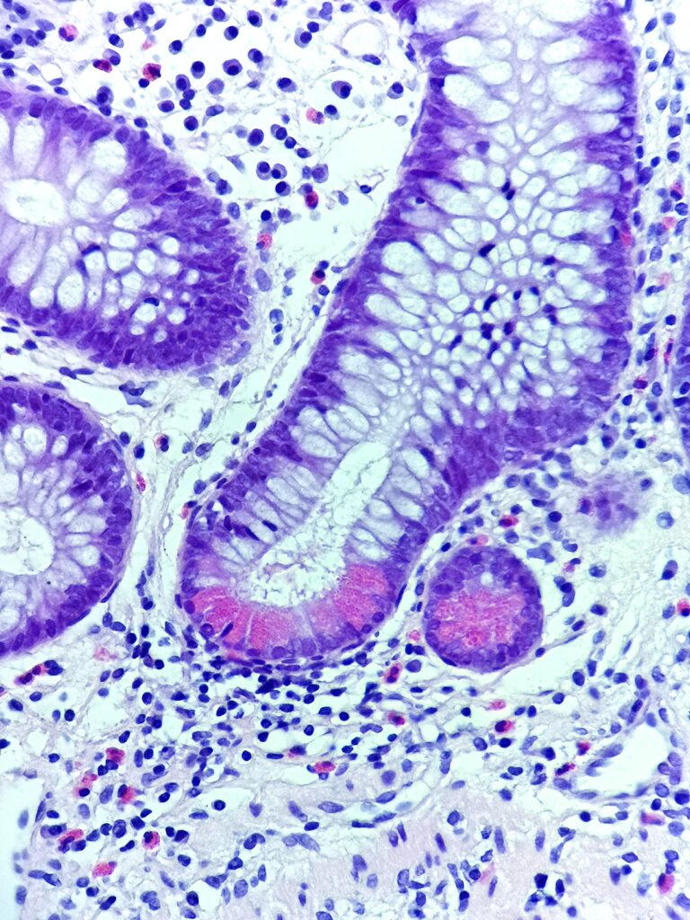
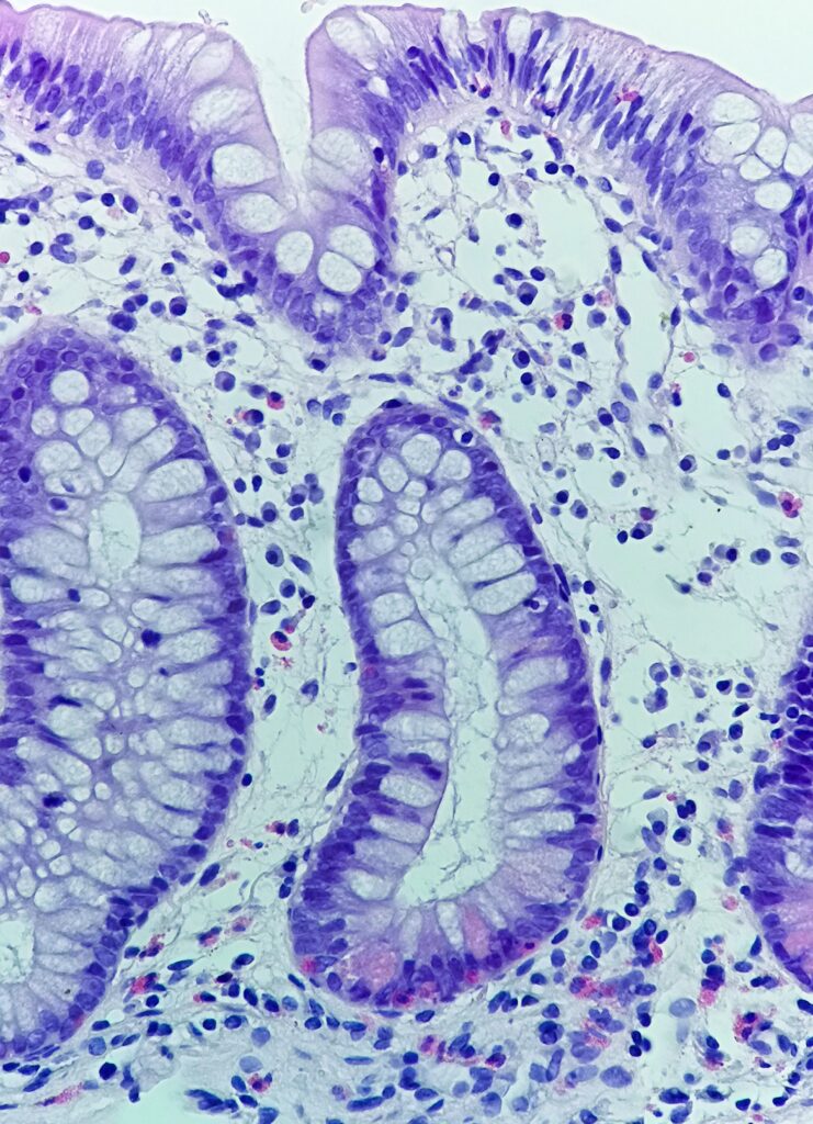
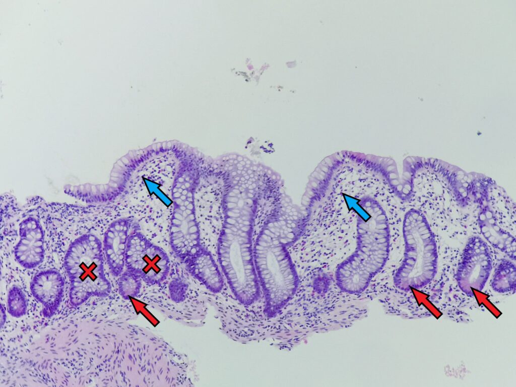
- blaszka właściwa błony śluzowej jelita grubego z niewielkim odczynem składającym się z limfocytów (niebieska strzałka), plazmocytów i nielicznych granulocytów kwasochłonnych
- cechy przewlekłego zapalenia: * zaburzenie architektoniki krypt (krzyżyk) – nieregularność, skrócenie, rozgałęziania się, poszerzenie, nieregularne odstępy między nimi * obecność komórek Panetha (czerwona strzałka) * część krypt nie sięga mięśniówki śluzówki
- brak nacieku z granulocytów obojętnochłonnych, nadżerek, ropni kryptowych, brak dysplazji nabłonka gruczołowego, brak ziarniniaków, nacieku zapalnego przekraczającego mięśniówkę śluzówki, nieobecność charakterystycznych inkluzji wirusowych bądź mikroorganizmów

Rozpoznanie:
Wrzodziejące zapalenie jelita grubego, faza remisji – w oparciu o dane klinicze (ulcerative colitis, UC).
Dodatkowe zdjęcia i informacje:
