Przypadek 353. Szkoły Młodych Patologów.
Pacjentka 57 letnia z wieloletnim wywiadem wrzodziejącego zapalenia jelita grubego przyjęta do Poradni Endoskopowej w trakcie klinicznego zaostrzenia objawów. Klinicznie wykluczono odczyny polekowe oraz czynniki infekcyjne. W kolonoskopii w odbytnicy, esicy, zstępnicy i poprzecznicy stwierdzono obrzękniętą, nierówną, wyboistą błonę śluzową z nadżerkami i polipami rzekomymi, krwawiącą kontaktowo. Ze zmienionych obszarów pobrano wycinki.
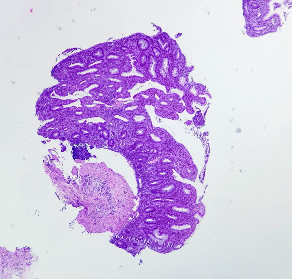
Do badania makroskopowego nadesłano 5 beżowych fragmentów tkankowych wym od 0,3 do 0,6cm.
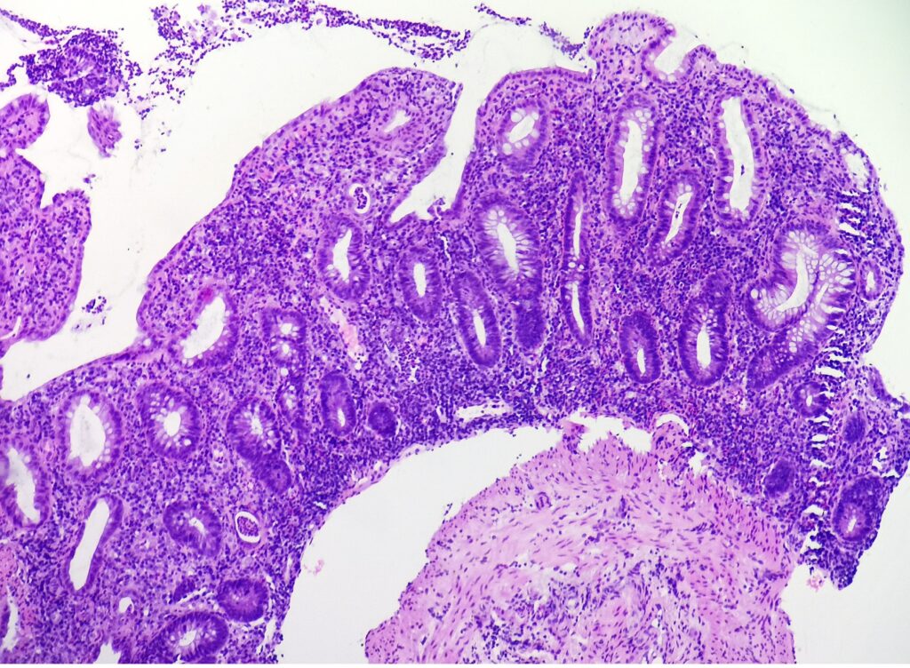
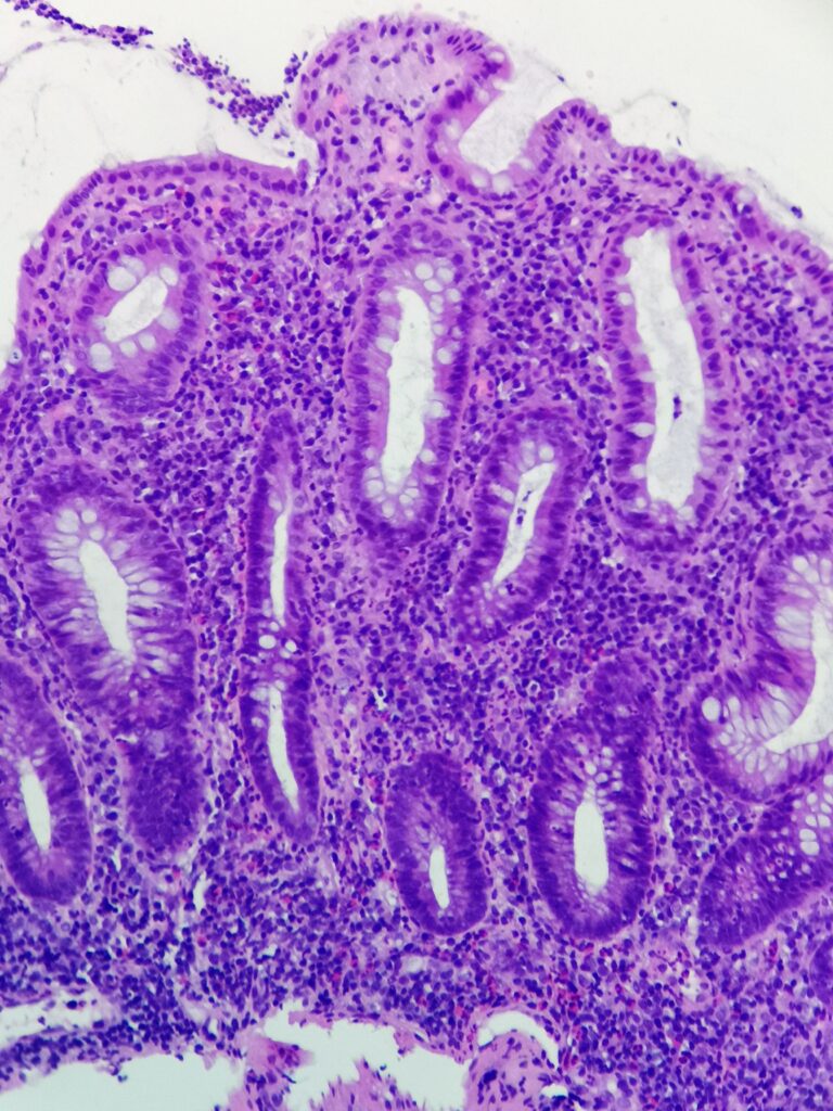
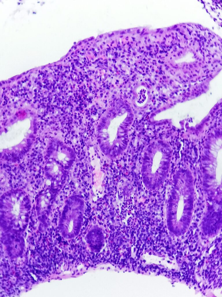
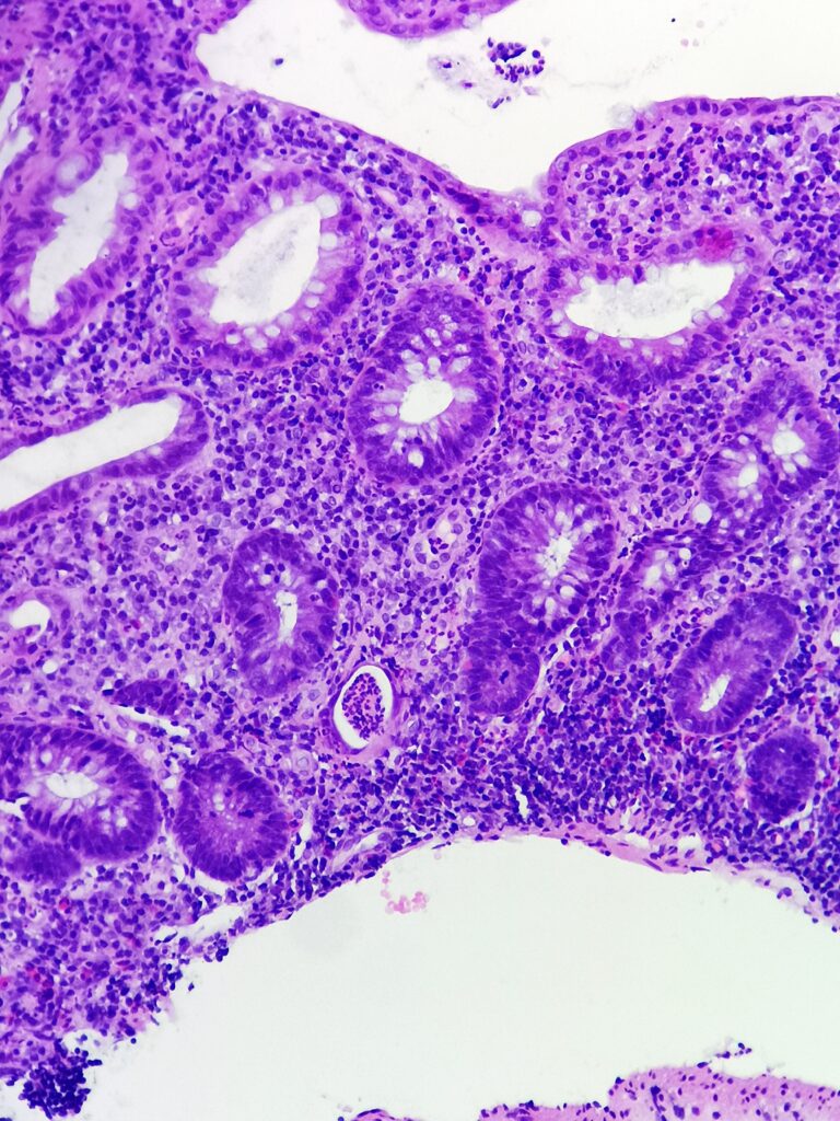
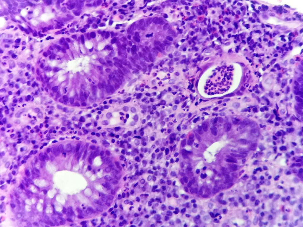
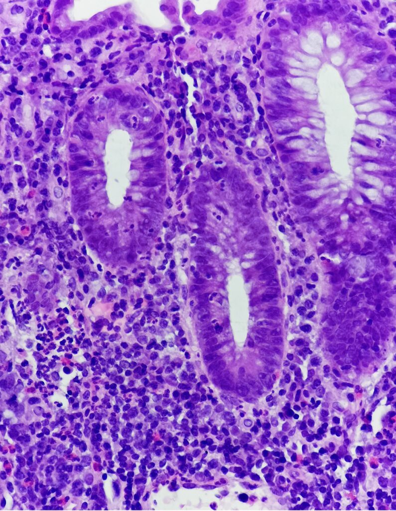
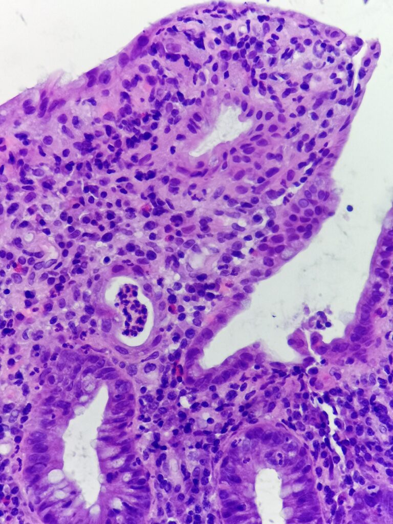
Obrazy mikroskopowe:










Cechy charakterystyczne:
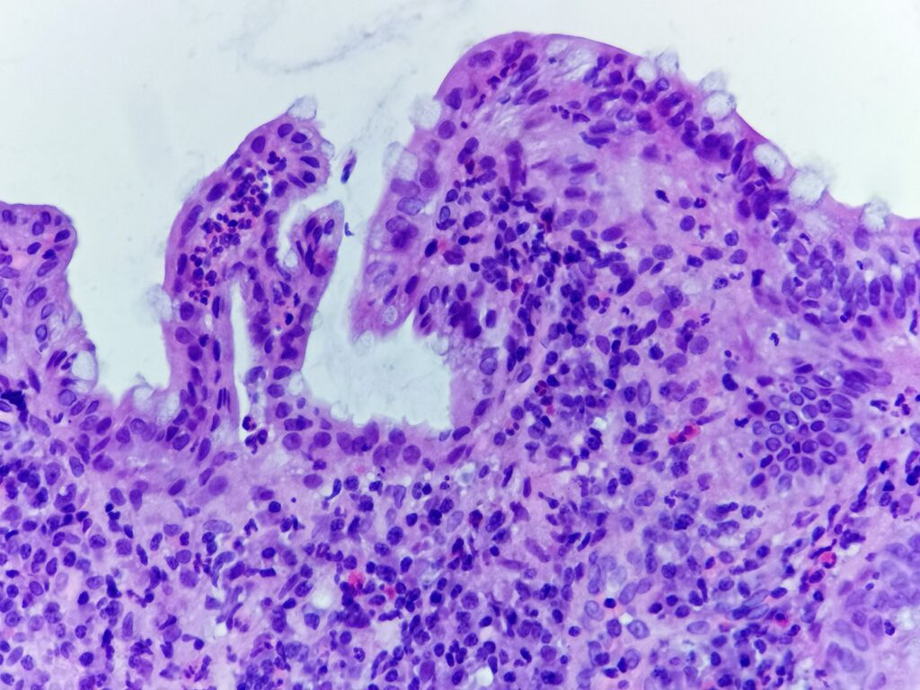
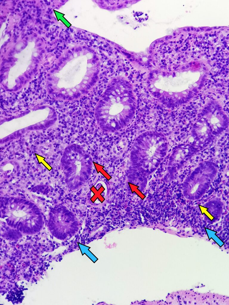
- zapalenie ograniczone do blaszki właściwej błony śluzowej jelita grubego
- naciek zapalny składający się z limfocytów, plazmocytów (w tym charakterystycznie u podstawy krypt, niebieska strzałka), makrofagów, granulocytów kwasochłonnych i granulocytów obojętnochłonnych
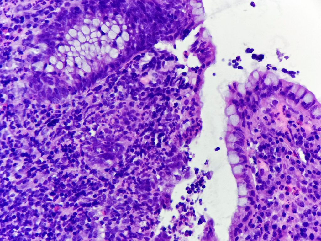
- wnikanie granulocytów obojętnochłonnych do nabłonka powierzchownego i kryptowego, tworzenie ropni kryptowych (granulocyty w świetle krypt, gwiazdka) i nadżerek (zielona strzałka)
- cechy przewlekłego zapalenia – zaburzenie architektoniki krypt – nieregularność, skrócenie, rozgałęziania się, poszerzenie, krypty nie dochodzą do mięśniówki śluzówki i są rozmieszczone w nieregularnych odległościach (żółta strzałka), obecność komórek Panetha (czerwona strzałka)
- w tym przypadku brak dysplazji nabłonka gruczołowego, brak ziarniniaków, nacieku zapalnego przekraczającego mięśniówkę śluzówki, nieobecność charakterystycznych inkluzji wirusowych bądź mikroorganizmów

Rozpoznanie:
Wrzodziejące zapalenie jelita grubego, faza zostrzenia – w oparciu o dane klinicze (ulcerative colitis, UC).
Dodatkowe zdjęcia i informacje:
