Przypadek 344. Szkoły Młodych Patologów.
Pacjentka 61 letnia z nieprawidłowymi krwawieniami po menopauzie. Wykonano zabieg wyłyżeczkowania kanału i jamy macicy.
Do badania makroskopowego nadesłano obfite brunatne wyskrobiny.









Cechy charakterystyczne:
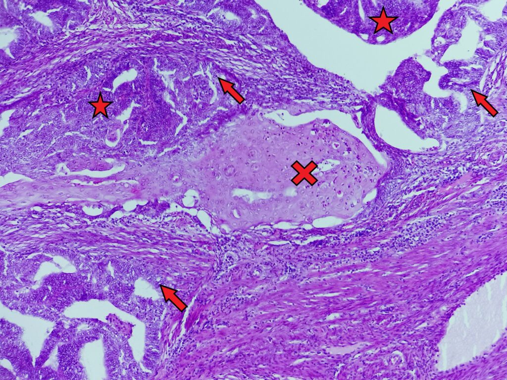
- w obrębie fragmentów błony śluzowej jamy macicy obecne są liczne, stykające się ze sobą nieprawidłowe gruczoły pozbawione oddzielającego podścieliska, o nieregularnym świetle, zajmujące więcej niż 2,1mm (połowa jednego pola widzenia o małym powiększeniu)
- gruczoły tworzące układy sitowate (gwiazdka), zrazikowe, brodawkowate i cewkowo- kosmkowe
- komórki zmiany wyraźnie różniące się od sąsiednich, niezmienionych – powiększone, walcowate (czerwona strzałka), jądra komórkowe powiększone, okrągłe, z utratą polarności, cytoplazma dość obfita, zwykle kwasochłonna i ziarnista, jąderka zwykle nie są bardzo wyraźne
- obecność ogniskowego różnicowania płaskonabłonkowego lub morul płaskonabłonkowych (krzyżyk) – owalne lub okrągłe lub nieregularne struktury składające się z komórek o wyraźnej, obfitej, kwasochłonnej cytoplazmie
- brak komponenty sarkomatycznej, dominującego tworzenia układów brodawkowatych, dominujących komórek z atypią dużego stopnia i licznymi figurami podziału, dominujących komórek hufnalowych o jasnej cytoplazmie

Rozpoznanie:
Rak gruczołowy endometrioidny trzonu macicy (Endometrial endometrioid adenocarcinoma of the uterine corpus).
Dodatkowe zdjęcia i informacje:
